Majda Kočičí: Dárcovská výzva pro projekt Pomozte Nemocnici Whisper v Ugandě

Májová výzva 🌸 Majda a její přátele pro děti s malárií 👩🏼‍⚕️

vybíráme od 2.5.2020
11 880 Kč
vybráno 24 % z 50 000 Kč

přispělo

31 lidí
Sbírka je již uzavřena. Děkujeme!
Tento měsíc je v Ugandě obdobím dešťů a proto jsem se rozhodla věnovat ho právě dětem s malárií, které potřebuji naši pomoc!
Malárie je jedním z největších zabijáků v Ugandě a také jednou z nejčastějších nemocí, které v nemocnici léčíme. 
Ahoj! ❤️
jmenuji se Majda a jsem dobrovolnicí v dětské nemocnici a porodnici Whisper v Ugande. 🇺🇬

Každý měsíc jsem se vám rozhodla ukázat střípek z toho co ve Whisperu děláme, jakým pacientům pomáháme a co všechno dokážeme ❤️
Tento měsíc bych vám rada ukázala co dokážeme na našem nutriční oddělení a sdílely s vámi příběhy děti, které tam léčíme 👶🏽


Jednou z dětí, které jsme léčili pro malárii je i malá Metrine:
Metrine jsme do nemocnice přijali ve velmi kritickém stavu bezvědomí způsobeným závažnou anémií a malárií. 🦟👶💊
Holčičku jsme okamžitě přijali na oddělení emergency, podali jsme ji krevní trasfuzi a také léky proti malárii. Starali jsme se o ní s láskou a péčí dokud se z kómatu neprobudila. 👨🏽‍⚕️💉👶
Teď nám úsměvy oplácí a brzy bude moci jít zpátky domů ke své rodince. Rodiče ale ještě předtím čeká školení o prevenci malárie. 👼❤️🏥


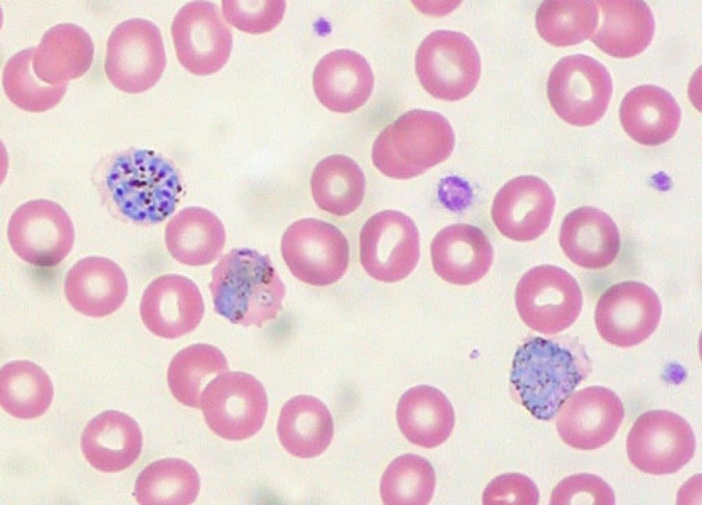
Takto vypadá rozvinutá malárie tak, jak ji vidíme pod mikroskopem. Naši laboranti se s tímto nálezem setkávají ve Whisperu dnes a denně. 🐜💉🏥
Malárie je drobný parazit přenášený komáry, který se bodnutím dostane do krve a napadá lidské krevní buňky a orgány.🤒🐜🌡️
Do nemocnice přichází pacienti nakažení malárií každý den a proto se Whisper věnuje nejen léčbě, ale i prevenci.🚑❤️👶
Náš Outreach tým učí rodiče jak předcházet malárii, rozdává sítě - moskytiéry a pracuje s nimi hlaveň proto, aby se k nám děti nemuseli vracet.🔬💉🏥


Důležitou součástí léčby malárie je včasné podání krevní transfuzi. Ve Whisperu podáme každý měsíc průměrně 150 jednotek krve našim pacientům.💉🏩
Díky spolupráci s krevní bankou má Whisper k dispozici dostatek krevních transfúzí pro všechny, kteří krev potřebují. Whisper zaměstnává 2 pracovníky krevní banky proto, aby organizace fungovala a nedošlo tak k výpadku.❤️💙💛
Kromě toho pracují pro Whisper dobrovolníci, kteří pomáhají v terénu zajistit dostatek dárců krve.👩‍🔬❤️🔬


Další holčičkou, kterou jsme léčili pro malárii je malá Amina:
Amina je asi dvouletá holčička, kterou přinesla v náručí do nemocnice její teta.
Přijeli ve 3 hodiny ráno. Holčička byla v bezvědomí, vůbec nereagovala a měla vysokou horečku. 👼💉👨🏽‍⚕️
Hned při vyšetření nám bylo jasné o co se jedná. Úplně bledé anemické spojivky, horečka - to je typická malárie.🏥🦟💉
Amině jsme odebrali krev a v laboratoři si potvrdili, že se opravdu jedná o malárii. A společně s výsledky jsme si z laboratoře odnesli rovnou i krevní trasfuzi. 👼❤️🏥
Přes noc ji vykopali trasfuze dvě a dostala dvě dávky léků proti malárii. 👩🏼‍⚕️💊🚑
Dnes už Amina běhá po dvoře, leze po tetě a zlobí. A tak to má být ♥️



Na co jsou peníze potřeba? 👶🏽 💉 🧫

👉🏻Celkové měsíční výdaje jsou pro nás 712 tisíc korun.

Za léky utratíme průměrně 130 tisíc korunměsíčně, za laboratorní testy průměrně 50 tisíc korunměsíčně, za platy zaměstnanců 370 tisíc korun. Další velké výdaje máme za pronájem budovy, elektřinu a vodu, ty se vyšplhají až na 52 tisíc korun měsíčně.
Další výdaje jsou za zdravotnické materiály, hygienické potřeby, jídlo pro pacienty a zaměstnance, kancelářské potřeby, benzín do elektrického generátoru a lékařské vybavení.

Což se zdá jako obrovské číslo, ale když to přepočítáme na pacienta, dostaneme se na částku 620 korun, tolik peněž potřebujeme na záchranu jednoho dětského života.❤️



👉🏻Co může změnit můj příspěvek?

30 korun zaplatí jednu dávku léku proti malárii 
60 korun zaplatí malarickou síť na postýlku v nemocnici
100 korun pokryje všechny 3 dávky léku proti malárii 
620 korun pokryje výdaje na jednoho pacienta

❤️ Každá koruna muže zachránit život ❤️




Proč podpořit přávě Whisper?

1)    I malá částka udělá velký rozdíl
V Ugandě jsou ceny nesrovnatelně nižší v porovnání například s Evropou, proto za pár korun nakrmíme celou rodinu a i s malými částkami umíme udělat zázraky.

2)    Péče, která má smysl
Whisper se stará o pacienty i po tom, co opustí nemocnici, protože nechceme, aby se děti nenakazily znovu. Zveme si pacienty na návštěvy nebo posíláme náš outreach tým za nimi. 

3)    Podpoříte nejen pacienty, ale i zaměstnance
Díky vašim příspěvkům můžeme zaměstnávat 82 zaměstnanců v naší nemocnici v Ugandě a tím zabezpečit je i jejich rodiny.

4)    Na lidech nám opravdu záleží
Whisper vše dělá lidsky a osobně, záleží nám na každém našem zaměstnanci i pacientovi. Každou situaci řešíme individuálně a vždy se snažíme najít to nejlepší řešení pro všechny.

5)    Vždy děláme víc
Chceme, aby se u nás naši pacienti cítili jako doma, proto je zahrnujeme do našich oslav a chceme, aby vždy byli součástí dění v nemocnici.



👉🏻Pokud Vás zajímá jak to v nemocnici chodí a jak s vašimi penězi bude naloženo, více informací najdete na:

📱FACEBOOKU: https://www.facebook.com/WhisperCZ/
📸INSTAGRAMU: https://www.instagram.com/whisper_cz/
📀WEBU: http://whisperorphans.org/CZ
🎥YOUTUBE: https://www.youtube.com/watch?v=LXcedpcHbXI

Nadační Fond Whisper
Nemocnice Whispers Magical Children Hospital je jedinou nemocnicí svého druhu, nejen v Ugandě. Oficiálně jsme nemocnici otevřeli v březnu 2016 jako nemocnici pro děti a v květnu 2018 jsme ji doplnili o porodnici a gynekologii. Založila a vede ji Češka – Veronika Cejpková. Ve Whisperu nevidíme naše pacienty jako diagnózy, vidíme je jako lidi s životními příběhy a chceme každému individuálně pomoci v jeho situaci, proto kromě lékařské péče nabízíme i sociální podporu, preventivní péči a spoustu dalších služeb.

Na co jsou peníze potřeba? 


Celkové měsíční výdaje jsou pro nás 712 tisíc korun.

Za léky utratíme průměrně 130 tisíc korunměsíčně, za laboratorní testy průměrně 50 tisíc korunměsíčně, za platy zaměstnanců 370 tisíc korun. Další velké výdaje máme za pronájem budovy, elektřinu a vodu, ty se vyšplhají až na 52 tisíc korun měsíčně.
 Další výdaje jsou za zdravotnické materiály, hygienické potřeby, jídlo pro pacienty a zaměstnance, kancelářské potřeby, benzín do elektrického generátoru a lékařské vybavení.

Což se zdá jako obrovské číslo, ale když to přepočítáme na pacienta, dostaneme se na částku 620 korun, tolik peněž potřebujeme na záchranu jednoho dětského života.


Co může změnit můj příspěvek?


60 korun zaplatí malarickou síť na postýlku v nemocnici
600 korun pokryje výdaje na jednoho pacienta
6000 korun stojí mléko, kterým krmíme podvyživené děti na měsíc



Proč podpořit přávě Whisper?


1)    I malá částka udělá velký rozdíl
V Ugandě jsou ceny nesrovnatelně nižší v porovnání například s Evropou, proto za pár korun nakrmíme celou rodinu a i s malými částkami umíme udělat zázraky.

2)    Péče, která má smysl
Whisper se stará o pacienty i po tom, co opustí nemocnici, protože nechceme, aby se děti nenakazily znovu. Zveme si pacienty na návštěvy nebo posíláme náš outreach tým za nimi. 

3)    Podpoříte nejen pacienty, ale i zaměstnance
Díky vašim příspěvkům můžeme zaměstnávat 82 zaměstnanců v naší nemocnici v Ugandě a tím zabezpečit je i jejich rodiny.

4)    Na lidech nám opravdu záleží
Whisper vše dělá lidsky a osobně, záleží nám na každém našem zaměstnanci i pacientovi. Každou situaci řešíme individuálně a vždy se snažíme najít to nejlepší řešení pro všechny.

5)    Vždy děláme víc
Chceme, aby se u nás naši pacienti cítili jako doma, proto je zahrnujeme do našich oslav a chceme, aby vždy byli součástí dění v nemocnici.



Pokud Vás zajímá jak to v nemocnici chodí a jak s vašimi penězi bude naloženo, více informací najdete na:
FACEBOOKU: https://www.facebook.com/WhisperCZ/
INSTAGRAMU: https://www.instagram.com/whisper_cz/
WEBU: http://whisperorphans.org/CZ
YOUTUBE: https://www.youtube.com/watch?v=LXcedpcHbXI

MOCKRÁT DĚKUJEME VŠEM, KTEŘÍ NEMOCNICI PODPOŘÍ, KAŽDÁ KORUNA SE POČÍTÁ! 🎄

Magdalena Molitorisová
100 Kč

💜

Pavel Kovář
200 Kč

Ahoj Majdi, pošlu převodem zitra, nemam kreditku. Jste skvělá a moc pomáháte. Val

Valerie Bromová
500 Kč

Ze srdce....ať slouží dobru. Držím palce.

Monika Korbelová
620 Kč

Děkuji za to, co děláte! Jste úžasní.

Johanka Šubrtová
60 Kč

Je úžasné, co děláte. Jste skvělí! 💜

Pavel Kovář
200 Kč

Přeji hodně štěstí a energie vaší činnosti

Eva Slehofer
100 Kč
Vybranými prostředky bude podpořena organizace:
Nadační Fond Whisper, projekt: Pomozte Nemocnici Whisper v Ugandě