Lenka Kaczová: Dárcovská výzva pro projekt Kastrace kolonií koček

Micka & Matýsek

vybíráme od 24.9.2023
10 500 Kč
vybráno 150 % z 7 000 Kč

přispělo

14 lidí
Sbírka je již uzavřena. Děkujeme!
Výzva MICKA & MATÝSEK je sbírka na nalezenou kočičku a kocourka, oba podstupují léčbu zraněné zadní nožičky.

MICKA & MATÝSEK

MATÝSKA nám nahlásila všímavá obyvatelka domu v Krumlovské ulici. Měl starší zranění zadní nohy, chybějící kůže, odhalené svaly a na nožičku se vůbec nepostavil. Matýska jsme odvezly do veterinární ordinace, kde mu nožičku ošetřili, byl chvíli hospitalizován a poté předán zpět do naší péče. Nyní mu nožičku mažeme, chodí na pravidelné kontroly, dostává antibiotika a zdá se, že je naděje na záchranu nožičky. Proto tuto sbírku rozšiřujeme i pro potřeby Matýskovy léčby. 

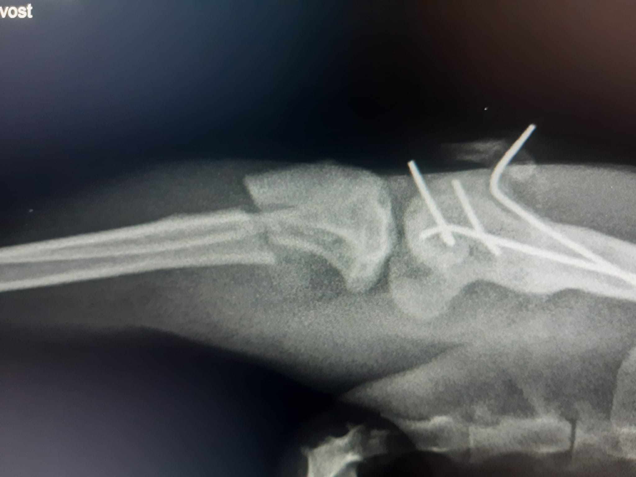
MICKA přišla za jedním pánem do dílny v Prachaticích ve velmi zuboženém stavu, byla podvyživená, hladová a zraněná. Pán se svou ženou se jí ujali, poskytli jí přístřeší a stravu, přičemž se snažili najít původního majitele. Při návštěvě veterinární ordinace se ukázalo, že kočička má zlomeninu pánevní končetiny a že už byla jednou operována, na rentgenu byla viditelná starší zlomenina stehenní kosti fixovaná pomocí drátů. Tentokrát je zlomená stejná nožička pod kolenem. 
Majitel se na výzvy na facebooku neozval, tak se manželé rozhodli, že si kočičku nechají. Bohužel nemají dostatek finančních prostředků na uhrazení operace.
Děvčata ze skupiny Kočičí depozitum U Petrušky PT se rozhodly pomoci prostřednictvím spolku KasProCats z.s.. Připojíte se a pomůžete také? 
Moc se za Micku přimlouváme, je to mazlivá a hodná kočička a určitě si pomoc od nás všech zaslouží.
Můžete si vybrat i jinou částku, pomůže každá koruna.
Pokud by se náhodou vybralo více, zbylé finance použijeme na krmení a potřeby pro kočičky v depozitu. O všem vás budeme informovat.
Za Micku a ostatní kočičky moc děkujeme.
KasProCats - kastrační program, z.s.
Stále častěji se na nás obracejí lidé s prosbou financování kastrací větších či menších kolonií bezprizorních koček. Tyto objemy kastrací jsou často i mimo naše finanční možnosti, proto se obracíme na vás...
Kastrace kolonií koček

Stále častěji se na nás obracejí lidé s prosbou financování kastrací větších či menších kolonií bezprizorních koček. Tyto objemy kastrací jsou často i mimo naše finanční možnosti, proto se obracíme na vás. Pokud máte možnost podpořit nás jednorázovou nebo trvalou platbou, pomůže nám to realizovat více takovýchto velkých akcí. DĚKUJEME!
Za krátkou dobu je kolonií hned několik a další nás zřejmě čekají. Budeme si je postupně představovat a přidávat nové, pokud nám to finance dovolí:



Aktuální kastrace:



Kolonie v Mýtě

Odhadováno koček: 30 koček
Zbývá vykastrovat: většina
Poslední update 15.11.2023: kastrace probíhají, téměř 10 koček je v dočasce

Kolonie ve Zlatých Horách

Odhadováno koček: 20 koček
Zbývá vykastrovat: 0
Poslední update 15.11.2023: vykastrováno ve spolupráci s městem

Sociální případ v Litovli

Odhadováno koček: 29 koček
Zbývá vykastrovat: 0
Poslední update 15.11.2023: namnožená kolonie byla vykastrována a ošetřena ve spolupráci se spolkem Toulavý ráj







Kolonie v Bernarticích

Odhadováno koček: 10-15 koček
Zbývá vykastrovat: čekáme na info
Poslední update 17.2.2022: vykastrováno 9 zvířat

Kolonie na statku v Orlických Horách

Ozvala se nám seniorka, která dlouhodobě sleduje situaci množících se koček na nedalekém statku, kde někdo kočky navíc také vyhazuje. Z vlastních financí již vykastrovala asi 20 koček, ale více jí důchod neumožňuje, tak se obrátila na nás. Aktuálně se v místě pohybuje zhruba 25 nekastrovaných koček, což je vzhledem k nastávajícímu jaru časovaná bomba. Místní paní doktorka nám vyšla s cenou vstříc a kastrace již započaly.
Vykastrováno koček: 25
Zbývá vykastrovat: cca 5
Poslední update 17.2.2022: zájemkyně řešila osobní věci, zapojí se až se situace ustálí

-------------------------------------------------------------

Dokončené kastrace:


Kolonie v Litomyšli

Odhadováno koček: 10 koček
Zbývá vykastrovat: 0
Poslední update 5.8.2022: všechny kočky byla vykastrovány ve spolupráci se spolkem Kočičí stěstí, z.s.

Kolonie na Kolínsku

Odhadováno koček: 50 koček
Zbývá vykastrovat: prozatím všechno kastrované, situace bude monitorovaná
Poslední update 29.11.2022: kastrace jsou hotové, 41 koček

Kolonie v Syrovicích

Odhadováno koček: 10 koček
Zbývá vykastrovat: 0
Poslední update 4.4.2022: kastrace jsou hotové

Kolonie v Prachaticích

Odhadováno koček: 20 koček
Zbývá vykastrovat: přehled o aktuálním stavu mají místní aktivisté, kteří kastrace řeší ve spolupráci s městem
Aktuální update 15.11.2023: v místě působí dvě skupiny - jedna se stará o kastrace ve spolupráci s městěm, druhá na léčení složitějších případů
Poslední update 20.3.2022: zasadili jsme se o zapojení města, takže kastrace proplácí úřad

Kolonie na Kolínsku

Odhadováno koček: 10 koček
Zbývá vykastrovat: 0
Poslední update 4.4.2022: kastrace jsou hotové

Sociální případ na Plzeňsku

Počet koček: 10
Zbývá vykastrovat: 0
Poslední update 4.4.2022: kastrace jsou hotové

Kolonie na Kutnohorsku

Odhadováno koček: cca 30
Zbývá vykastrovat: 0
Poslední update 20.3.2022: vykastrováno 31 koček

Kolonie v Pečkách

Pečky a přilehlé okolí jsou lokality, které jsou dlouhodobě exponované většímu výskytu toulavých koček. Přestože se místní snaží situaci řešit a úřad je ochoten hledat řešení, jen za posledního půl roku se jednalo a desítky koček a koťat. Momentálně se jedná cca o 20 zvířat.
Vykastrováno koček: 36
Zbývá vykastrovat: ?
Poslední update 17.2.2022: přestože město slíbilo zapojení, tak veterinářka hlásí, že dosud nezaplatilo žádnou z vystavených faktur

Kolonie ve Vlčkovicích

Na statek jednoho seniora se přitoulaly dvě březí kočky kočky, které tam i porodily koťata. Pán má finance sotva na krmení, ale jedna místní paní se rozhodla, že mu pomůže situaci zvládnout a tak oslovila nás s prosbou o kastrace. V současné době se tam nachází cca 10 koček a hrozí, že se budou dále množit. Shodou okolností se už kočky v této obci kastrovali na jiném místě, kde šlo o 8 zvířat.
Vykastrováno koček: 11
Zbývá vykastrovat: 3
Poslední update 4.8.2021: zbývající kočky zmizely

Kolonie v Lounech

Další kastrace probíhají v zahrádkářské kolonii v Lounech, kde úřad údajně zakazuje kočky krmit nebo jim stavět boudičky. Policie má údajně kočky vozit za město. V kolonii se zdržuje okolo deseti koček.
Vykastrováno koček: 10
Zbývá vykastrovat: ?
Poslední update 4.8.2021: nalezené kočky se průběžně kastrují

Kolonie na Šumavě

Paní přišla o manžela, který zásadně nesouhlasil s kastrací jejich koček. Na konci minulého roku zemřel a paní na invalidním důchodu nyní řeší situaci, ale nedostává se jí financí na rychlou akci. Je důležité stihnout všech 16 koček vykastrovat před podzimní říjí. Paní si je situace vědomá a moc si přeje kočky humánně zregulovat tak, aby zastavila jejich neřízené množení. Případ se nachází v jednou koutě na Šumavě.
​Vykastrováno koček: 16
Zbývá vykastrovat: 0
Poslední update 17.2.2022: vše vykastrováno na naše náklady


-------------------------------------------------------------

Odložené kastrace:


Kolonie v Doksech

Odhadováno koček: 70 koček
Zbývá vykastrovat: většina, v minulosti se o intervenci pokoušelo město i aktivisté, kočky jsou závislé na pánovi, který má ke kastracím nesmyslená kritéria
Aktuální update 15.11.2023: bohužel nastarovaná spolupráce vyšuměla - evidentně je místo zakleto a nikdo nemá síly s tím hnout
Poslední update 15.11.2022: Oslovil nás místní útulek, který konečně pána zpracoval a vypadá to na dobré cestě.

Kolonie u Třebíče

Odhadováno koček: 30 koček
Zbývá vykastrovat: ?
Poslední update 15.11.2023: kastrace zrušeny, zadavatel přestal komunikovat

Kolonie v Hustopečích u Brna

Odhadováno koček: 20 koček
Zbývá vykastrovat: lokalita nemá řešení
Aktuální update 15.11.2023: obec se dramaticky vyhýbá jakémukoli systematickému řešení, bez kterého není možno v lokalitě intervenovat
Poslední update 29.11.2022: největší emise koček pochází od notoricky známého místního množitele, nemáme info, že by to město řešilo, na maily nereagují. V současné době není v lokalitě nikdo, kdo by situaci monitoroval a aktivně se zapojil.

Kolonie na Rychnovsku

Odhadováno koček: 12 koček
Zbývá vykastrovat: čekáme na info
Aktuální update 15.11.2023: kastrace převzal místní spolek, který je zasmuvněn městem
Poslední update 20.2.2022: kastrace se chystají

Kolonie ve sběrných surovinách Praha 8

Kolonií po Praze existuje stále mnoho. V minulosti jsme kastrovali kolonii ve spolupráci s dalšími spolky v Divoké Šárce a nyní se na nás obrátila paní, která mapuje kolonii v místních sběrných surovinách, kde se povedlo za krátký čas namnožit 15 koček.
Vykastrováno koček: 3
Zbývá vykastrovat: cca 12
Poslední update 17.2.2022: žadatelka velmi špatně komunikuje, není v našich silách se neustále připomínat

Kolonie v Černých Voděradech

Po smrti majitele chaty se kočky drží v okolí a chodí na jídlo, které jim občas někdo dá. Dvě kočky jsou evidentně březí a jeden kocour pravděpodobně poraněný. Detaily budeme vědět na konci týdne.
​Výsledek: Kastrace se chystají
Poslední update 17.2.2022: březí kočka odvezena do útulku, situace se vyhrotila - místní znemožňují odchyt koček a volají policii

Kolonie v Sobotce

Obrátila se na nás klientka, že nedaleký soused množí kočky a není s ním žádná řeč. Kočky se stahují tam k lidem, kterým situace není lhostejná, ale pochopitelně kočky mají tendenci dále se množit. Obec situaci odmítá situaci řešit, lidé jsou zoufalí.
​Výsledek: Kastrace se chystají
Poslední update 17.2.2022: žadatelka má zdravotní problémy, kastrace se odložily


-------------------------------------------------------------


Kolonie kastrované v minulosti

Za pomoci našich podporovatelů, ale i ve spolupráci se spolky a úřady se nám povedlo vykastrovat mnoho různě velkých (10-25 zvířat v každé) kolonií:
- Malé Březno, 7 koček (leden 2022)
- Uherčice (2020)
- Divoká Šárka (jaro 2020)
- Bochov (jaro 2020)
- Želenice (jaro 2020)
- Zlaté Hory (zima 2020)
- Libá u Chebu (zima 2020)


Proč podpořit právě nás?


- jsme inovativní a pokrokoví
- snažíme se dělat věci jinak
- vytváříme nové strategie a hledáme řešení, jak je aplikovat
- vytváříme spolupráce, propojujeme lidi i spolky
- daří se nám to, o čem se donedávna říkalo, že je to nemožné
- vzděláváme společnost
- sháníme peníze na kastrace
- zastupujeme občany při jednánání s úřady
- jednáme s obcemi a vytváříme metodiku
- zajišťujeme a ověřujeme informace o kastracích v obcích
- zajišťujeme krmení pro depozita a útulky
- odpovídáme na dotazy lidí
- jsme vám k dispozici 7 dní v týdnu


Spolek:
Dlouhodobá činnost od roku 2017 – stabilní a kontinuální působení v oblasti kastrací.
Aktivní komunikace na sociálních sítích – sdílení příběhů a informací s veřejností.
Spolupráce s dalšími organizacemi i značkami – kočičí i nekočičí neziskovky a dobrovolníci.
Vytváření výročních zpráv – informování veřejnosti o činnosti spolku.
Vytváření databází veterinářů a útulků – usnadnění přístupu k informacím.

Útulek:
Provoz útulku – jsme registovaný útulek.
Certifikace pro odchyt a převoz zvířat – odborné zajištění služeb.
Ročně vyservisujeme kolem 50 zvířat

Financování a udržitelnost:
Sofistikovaný fundraisingový systém a péče o dárce
Podpora ze strany veřejnosti – rostoucí počet dárců a dobrovolníků.
Efektivní využívání darů – maximální dopad na cílovou skupinu.
Pravidelné benefiční aukce – získávání prostředků na další kastrace.
Dárcovská výzvy na Darujme - umožňume klientům legálně sbírat finance pro jejich aktivity.
Pomoc při katastrofách - pomoc zvářatům po tornádu či zvířatům Ukrajiny.

Systémová změna:
Kastrační programy města a obce - zastupujeme 60 obcí a několik stovek dalších jsme zapojili.
Efektivní online kampaň Napište starostovi.
Kampaň za oslovení krajů Napiště krajům.
Úspěšná petiční iniciativa Za změnu zákonů pro kočku.
Úspěšná petiční iniciativa Revize králové hradeckého útulku.
Běžící petiční iniciativa Exemplární trest pro střelce koček v oboře Březka.

Kastrace:
Transparentní systém žádostí – online formuláře a jasná pravidla pro žadatele.
Spolupráce s více než 670 veterináři – široká síť spolupracujících odborníků.
Slevy a příspěvky na kastrace - ročně vykastrujeme 1500 - 1700 koček.

Osvěta a prevence:
Důraz na prevenci přemnožení koček – zaměření na dlouhodobé řešení problému.
Vytváření edukativních materiálů – infografiky a návody pro veřejnost.
Osvětové kampaně a edukace – zvyšování povědomí o problematice toulavých koček.
Poradenství v oblasti odchytu a péče – praktické rady pro veřejnost.
Natáčení podcastu „Kočkování“ – edukace veřejnosti a odpovídání na dotazy.
Tvorba edukativních videí – vizuální osvěta pro veřejnost.
Spolupráce s médii – zvyšování povědomí o problematice toulavých koček.
Letáková kampaň - vypustili jsme do oběhu přes 500.000 kusů letáků.



Vybranými prostředky bude podpořena organizace:
KasProCats - kastrační program, z.s., projekt: Kastrace kolonií koček